Google Reviews
4.7
Google Reviews
Google Rating

Case 8 - Audrey Invisalign®

Before After

Case 9 - Cliona Invisalign®

Before After

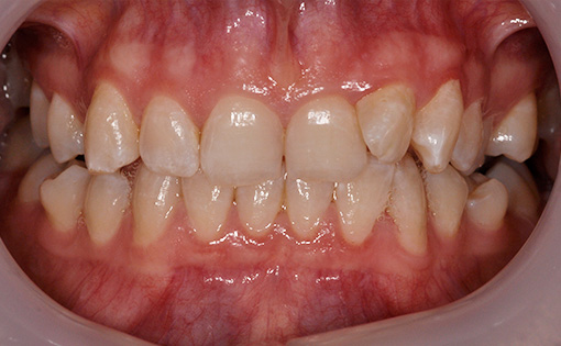
Case 10 - Grace Invisalign®

Before After

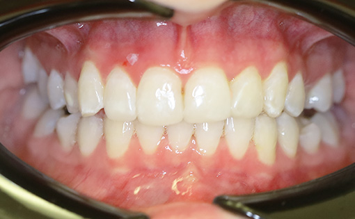
Case 11 - Kaitlin Invisalign®

Before After

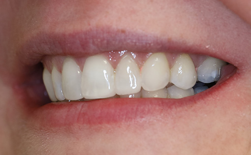
Case 15 - Invisalign® & Enlighten Whitening

Before After

Anna presented with a tooth that stuck out.  She had had braces when she was younger but had…

Learn More

Get in touch

Treatment - Claire Hughes Dental

Dental Emergencies

Treatment - Claire Hughes Dental

General Dentistry

Treatment - Claire Hughes Dental

Dental Hygiene

Treatment - Claire Hughes Dental

Cosmetic Dentistry

Treatment - Claire Hughes Dental

Teeth Straightening

Treatment - Claire Hughes Dental

Facial Aesthetics

“Cannot fault the service from this practice. All the staff are warm, friendly and welcoming. The skills and expertise from Claire and her team are second to none. I would have no hesitation recommending it. 😁”

Jo G

  • Spencer House
  • L'Derry
  • Northern Ireland
  • BT47 6QA