Google Reviews
4.7
Google Reviews
Google Rating

Case 2 - Anna's Amazing Smile Makeover

Before After

Anna came to see us as she had a tooth that stuck out. She has braces when she…

Learn More

Case 12 - Sean

Before After

Smile Makeover with Crowns & Veneers. He hated to smile before and was dentally phobic. I took his…

Learn More

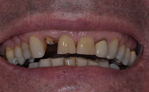
Case 13 - Stephen

Before After

Stephen had lots of toothwear and a tooth with a crown broke. We removed the broken tooth and…

Learn More

Get in touch

Treatment - Claire Hughes Dental

Dental Emergencies

Treatment - Claire Hughes Dental

General Dentistry

Treatment - Claire Hughes Dental

Dental Hygiene

Treatment - Claire Hughes Dental

Cosmetic Dentistry

Treatment - Claire Hughes Dental

Teeth Straightening

Treatment - Claire Hughes Dental

Facial Aesthetics

“Cannot fault the service from this practice. All the staff are warm, friendly and welcoming. The skills and expertise from Claire and her team are second to none. I would have no hesitation recommending it. 😁”

Jo G

  • Spencer House
  • L'Derry
  • Northern Ireland
  • BT47 6QA