Google Reviews
4.7
Google Reviews
Google Rating

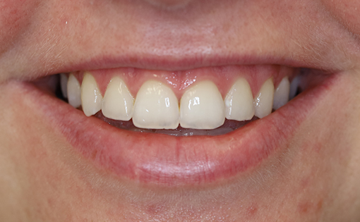
Case 13 - Stephen

Before After

Stephen had lots of toothwear and a tooth with a crown broke. We removed the broken tooth and…

Learn More

Case 14 - Boutique Teeth Whitening

Before After

Case 15 - Invisalign® & Enlighten Whitening

Before After

Anna presented with a tooth that stuck out.  She had had braces when she was younger but had…

Learn More

Get in touch

Treatment - Claire Hughes Dental

Dental Emergencies

Treatment - Claire Hughes Dental

General Dentistry

Treatment - Claire Hughes Dental

Dental Hygiene

Treatment - Claire Hughes Dental

Cosmetic Dentistry

Treatment - Claire Hughes Dental

Teeth Straightening

Treatment - Claire Hughes Dental

Facial Aesthetics

“Cannot fault the service from this practice. All the staff are warm, friendly and welcoming. The skills and expertise from Claire and her team are second to none. I would have no hesitation recommending it. 😁”

Jo G

  • 14-22 Spencer Rd
  • Derry/Londonderry
  • BT47 6QA